Skip to main content
Park Place Dental
A Great Dentist
Park Place Dental
A Great Dentist
Book Online
Like us on Facebook
Visit us on Yelp
Watch our Youtube Videos
Leave a Google Review
Instagram
Call Now
705-728-9922
General and Aesthetic Dentistry
120 Concert Way, Suite 2
Barrie, ON L4N 6N5
Book An Appointment
Home
About
Our Team
Technology
Office Pictures
Services
View All
Teeth Whitening
TMJ Treatment
Gum Surgeries
Root Canal Treatment
Family Dentistry
Preventative Dental Care
Sedation Dentistry
Tooth-Coloured Fillings
Emergency Dental Services
Invisalign
Dental Implants
Crowns & Bridges
Cosmetic Dentistry
Periodontal Disease Treatment
Tooth Extractions
Children's Dentistry
CDCP Benefits
Smile Gallery
Patient Info
View Patient Info
Your First Visit
Forms
Patient Portal
Finance/Fees
Specials
FAQs
Blog
Careers
Contact
Park Place Dental
>
Smile Gallery
>
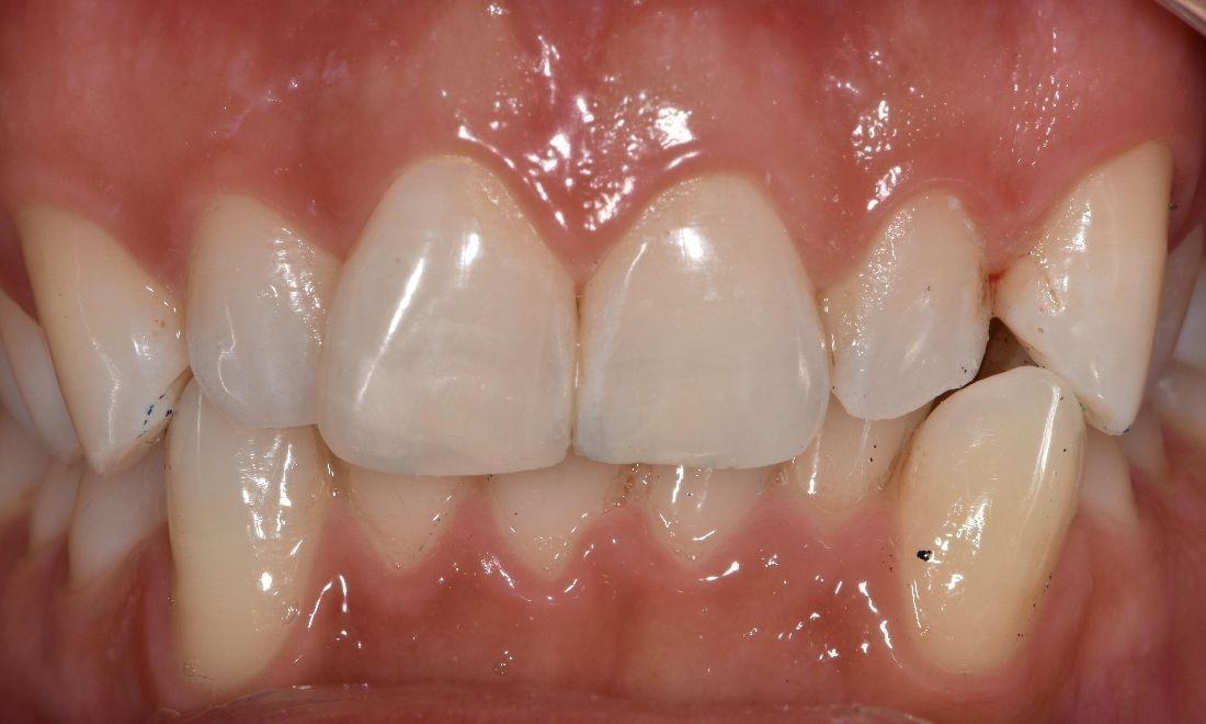
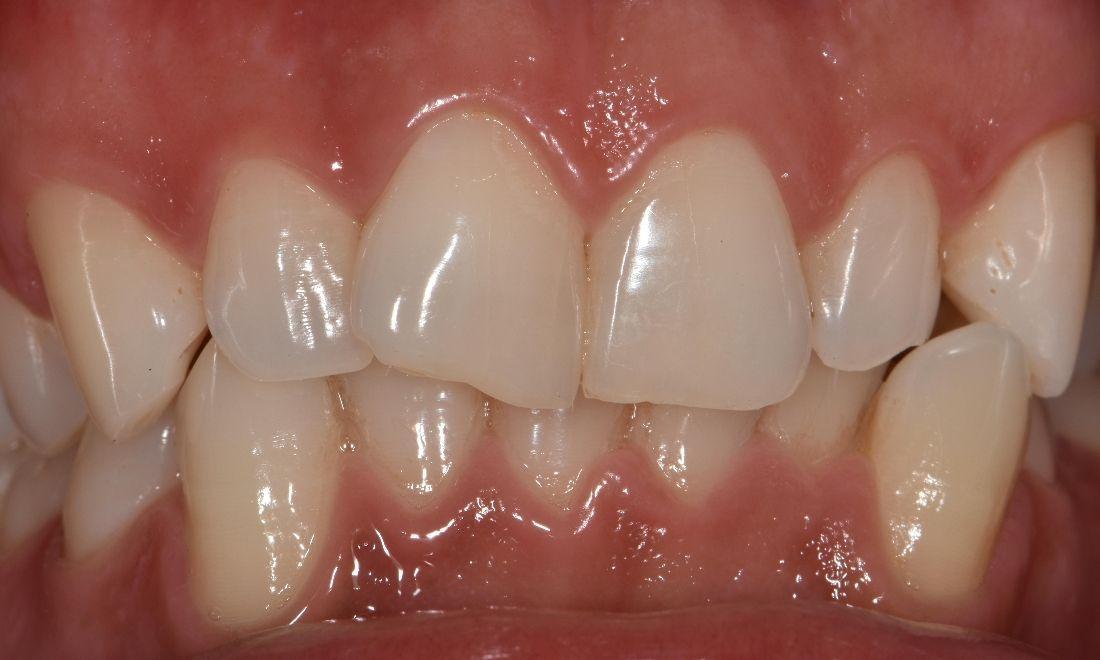
Bonding for Broken Front Tooth
Bonding for Broken Front Tooth
Return to Smile Gallery
Previous
Next
Resin bonding can create a tooth-like appearance if you have a chipped or broken tooth.
Related Services:
Tooth-Coloured Fillings
Crowns & Bridges
Cosmetic Dentistry
Before
After
Still need an appointment?
Get in Touch
OK!
×
×
Contact Us Today
Give Us A Call
Park Place Dental -
705-728-9922
Send Us an Email
Book Online
Contact Us
Click the Button Below to Schedule an Appointment
Book Online
You Can Also Contact Us Directly or Fill the Form Out Below
Required Field
Your Name:
Phone:
Email:
Are you a new patient?:
Are you a?
New Patient
Current Patient
How would you like us to contact you?
Please choose
Email
Call
How did you hear about us?
Please choose
I'm an existing patient
Google/Bing
Mailer
Word of mouth
Social media
Other
Who Referred You?:
Appointment Preferences
Monday
Tuesday
Wednesday
Thursday
Friday
Saturday
Your Message:
This site is protected by reCAPTCHA and the Google
Privacy Policy
and
Terms of Service
apply.
Sending...
×
This Patient's Experience
Loading Testimonial...
Loading Case...