Same-Day Dental Crowns & Bridges in Barrie
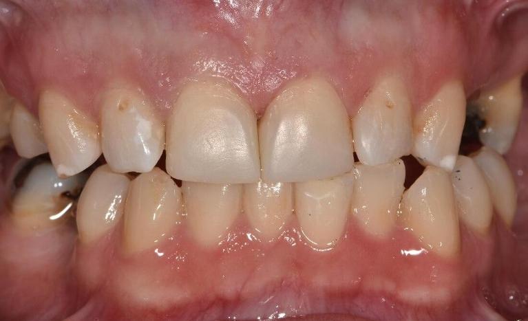
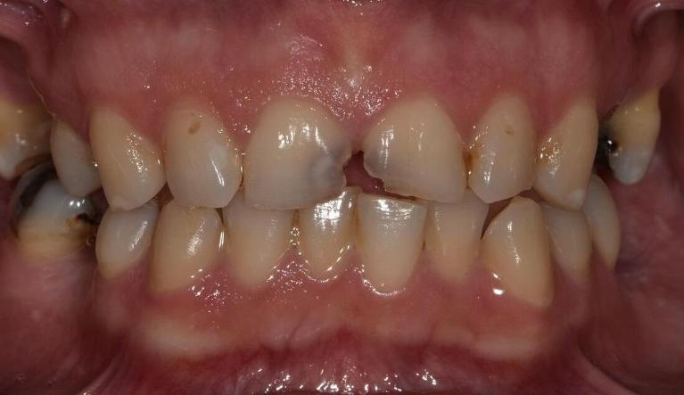
We all want to keep our natural teeth healthy and in good condition, but it's not always possible. Decay, trauma, and other issues can lead to damaged or missing teeth.
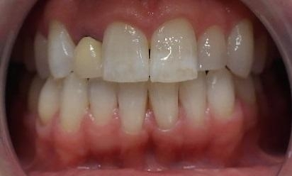
In most cases where a tooth is lost or becomes damaged like this, the doctors at Park Place Dental still turn to time-tested solutions like dental crowns and bridges.
Treating damaged or missing teeth as quickly as possible is not just good for your oral health. Both problems affect your appearance and can prevent you from smiling openly. However, you also have to live with the inconvenience of teeth that affect your speech and even your ability to chew and eat normally.
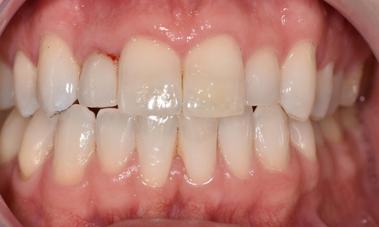
Porcelain Dental Crowns in Barrie
How a Dental Bridge Works
Dental Crown Process
A dentist uses a dental crown in cases where the tooth is severely damaged or decayed, but a cosmetic dentist can also use it for aesthetic purposes. Additionally, a porcelain crown may be the only way to restore a damaged tooth to its original appearance.
A
