Park Place Dental
A Great Dentist

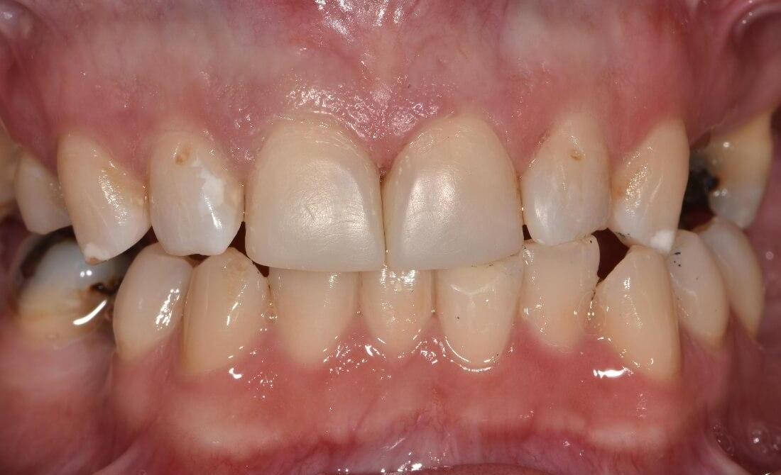
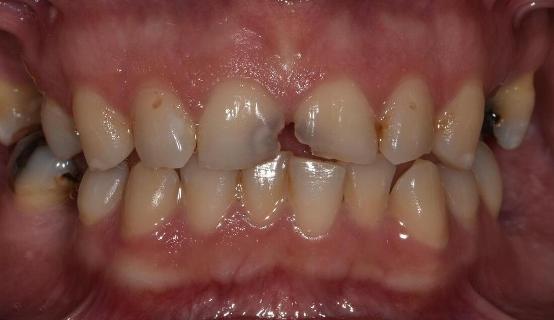
Anterior Teeth Restored With Tooth Colour Restorations

Large decay around teeth can be restored with tooth colour filling material. It will give you natural contour and colour very close to your own teeth.

High-Quality and Caring Dentistry for the Entire Family
If you have difficulty using our website, please email us or call us at 705-728-9922