Reasons to Choose Tooth-Coloured Dental Fillings
Modern dentistry gives us new and improved materials to work with, and today, we fill cavities using natural-looking tooth-coloured composite fillings.
We choose tooth-coloured composites because we find them preferable to metal fillings for several reasons.
Improved Appearance
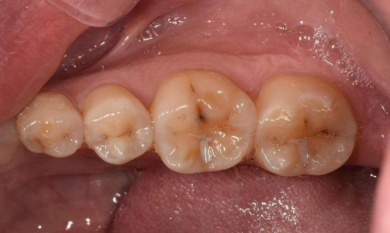
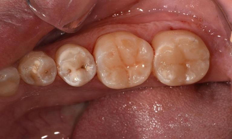
Our Barrie patients appreciate the aesthetic nature of composite fillings that allows us to match the shade of the restoration to their natural tooth colour. The result is a tooth repair that blends seamlessly with existing tooth enamel and creates an invisible repair.
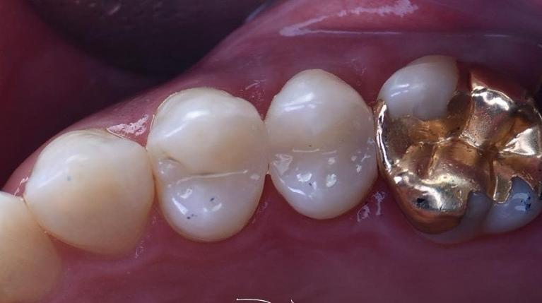
Unlike composite fillings, amalgam fillings create a dark spot on white dental enamel. Over time, amalgam fillings can break down and also gradually discolour teeth, causing teeth to take on a darker, bluish or grey hue.
Correct Cosmetic Concerns
Since tooth-coloured fillings in Barrie blend so perfectly with your smile, we can also use them to address a number of cosmetic dental concerns. We can:
- Close gaps and uneven spacing between teeth
- Repair chipped, cracked, or broken teeth
- Improve the shape and size of irregular teeth
Structural Integrity
A silver amalgam filling sits in the hollowed-out space inside your tooth, but it doesn't bond to your tooth structure. For this reason, the amalgam filling can deteriorate over time and pull away from the tooth, opening a space where bacteria collect and leading to more complex dental problems.
On the other hand, since tooth-coloured fillings are bonded directly to your tooth, they restore the damaged part of the tooth, potentially leaving it stronger than when we found it, which increases the tooth's integrity. Tooth-coloured fillings in Barrie are long-lasting and will give you many years of service before you need to replace them.