Park Place Dental
A Great Dentist
Periodontal Disease Treatment
We Can Help You Avoid Gum Disease

Professional dental cleanings and regular checkups help prevent periodontal disease.

man getting periodontal exam in barrie on
Prevent Gum Disease - Schedule Your Appointment
Talk With Our Team

Periodontal Disease Treatment in Barrie, ON

close up of woman holding toothbrush and toothpaste in barrie onDo you notice that your tooth feels loose? Do your gums bleed when brushing and flossing? Both are symptoms of periodontal (gum) disease, a bacterial infection that affects the gums and tissues that support your teeth. 

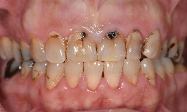
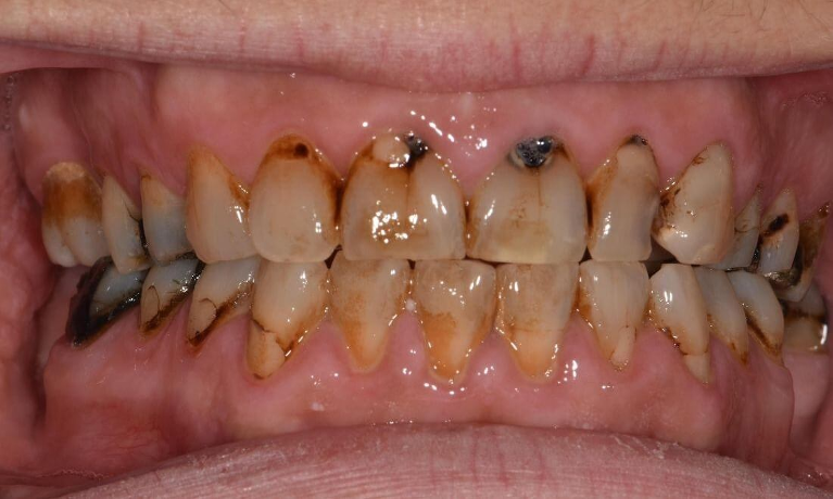
Gum disease in Barrie, ON is a serious oral health problem affecting nearly half of all adults. It is also the number one reason for adult tooth loss.

Typical gum disease symptoms are swollen, painful, or bleeding gums. Unfortunately, gum disease is not always apparent, which is just one reason why it is so prevalent. 

3 Early Signs of Gum Disease

Gum disease doesn't cause a lot of pain or discomfort at first. Here are three telltale signs you should be aware of if you have gingivitis (early gum disease).

Bleeding Gums

Gums that bleed during brushing or flossing is an early sign of gum disease (gingivitis).

Chronic Bad Breath

Bad breath that you can't eliminate with brushing or mouthwash is another sign of gingivitis.

Swollen Gums

If your gums appear red, swollen, or irritated, it's time to book an exam with your Barrie dentist.

Frequently Asked Questions

The general rule of thumb for dental visits is twice a year for both cleanings and exams.

Dental exams at our Barrie office allow us to monitor the state of your oral health, which in turn helps us resolve small problems before they become big problems. Routine cleanings keep your teeth healthy and are your best defense against problems like gum disease.

dental toolsWhat to Expect at a Dental Exam in our Barrie Clinic

Periodic exams – Having your routine exam twice yearly allows Dr. Joo to identify any potential conditions early so that we can treat them right away. In most cases, when we catch a condition in its early stages, it is both less invasive and less costly to treat.

Professional dental cleanings – Even if you brush and floss, you still need a professional dental cleaning at least twice yearly to remove tartar and bacteria that build up between your teeth and beneath your gum line. The dental cleanings we offer vary based on your health. For instance, if you develop advanced periodontal disease, we will often recommend a deep cleaning to eliminate the infection.

Panoramic x-rays – We use panoramic x-rays to diagnose and treat such problems as dental infection, decay, and bone loss. Panoramic x-rays can even help us identify cysts and tumors that might have otherwise gone undiagnosed.

Contact Our Innisfil Dental Clinic

Whatever the current state of your oral health, our goal is for you to enjoy the benefits of a healthy smile. If you’re due for an exam and cleaning, please give us a call.

Gum disease is a severe condition of the gums that leads to tooth loss and can even impact your physical health. Studies link gum disease to heart complications, diabetes, and even specific types of dementia. Fortunately, your Barrie dentist offers effective treatment for this condition.

If you’re diagnosed with gum disease, it means you have infections and inflammation in your gum tissues and the bones that support your teeth. Symptoms are not always evident at first, which is why regular dental care—checkups and teeth cleanings—is so critical.

barrie woman smilingYour dentist can spot gum disease in the emergent stage called gingivitis at your dental checkup, which is always easier to treat and even reverse. Advanced gum disease is often permanent but still treatable.

Your regular teeth cleanings rid your teeth and gums of the ingredients that lead to gum disease and other preventable conditions.

Common Symptoms of Gum Disease

As untreated gum disease advances, you may notice:

  • Loose or mobile teeth
  • Inflamed gums
  • Bleeding gums  
  • Bad breath
  • Toothaches
  • Tooth sensitivity

Talk to Our Dentist about Gum Disease Treatment in Barrie

If you suspect gum disease or have not been to the dentist in a while, we encourage you to contact our dental office to arrange an exam and teeth cleaning with our compassionate team.

It is very important to see a dentist when you notice you may have an abscess. An abscessed tooth is a very painful infection.

Abscessed teeth are commonly caused by:

  • severe tooth decay.
  • trauma to the tooth
  • gingivitis or gum disease. 

Tooth next to first aid kitAbscessed Tooth Treatment

Dental abscesses are usually located at the root of a tooth or in between the gum of teeth. Often times it will look like a bubble or swelling on the gums usually filled with pus (a thick yellowish fluid). In most cases, you will need a root canal or extraction right away to relieve the pain of the tooth in question. However, sometimes it is necessary to complete a course of antibiotics to clear the infection prior to starting treatment. 

Contact Our Barrie ON Dental Clinic

If you can't get to an emergency dentist right away, going to the hospital or walk-in clinic for a prescription for antibiotics is always ideal! As the antibiotic fights off the infection, the pain will start to go away. However, it is recommended that you see a dentist as soon as you are completed with your prescription, as antibiotics will only clear the infection temporarily. Your abscess will return unless the tooth gets the treatment it needs. Call our Barrie, ON dental office today!
 

We Start with Preventative Treatments

Barrie man smiling during dental examThe key to avoiding gum disease is prevention. At Park Place Dental, we offer preventative dentistry, including dental exams and teeth cleanings, to help keep your teeth and gums healthy. We can't stress it enough – the shortest path to optimal oral health and a problem-free smile is conscientious oral hygiene, regular exams, and professional cleanings.

When we see you regularly, finding gum disease in its earliest stages is easy. We think you'll agree that it is preferable to follow these simple steps now, rather than putting them off and risking more serious dental problems in the future!

Our professional team in Barrie does everything possible to make each visit stress-free and enjoyable, so you can feel good about keeping up with critical preventative treatments. You will always feel welcome here, and we will treat you with the individualized attention you deserve.

Meet Our Doctor:

Barrie ON Dentist Youngwoo Joo , D.D.S.

Dr. Joo D.D.S.
Dentist

Dr. Joo currently resides in Vaughan, Canada. He received his undergraduate training at the University of Toronto and graduated with degrees in zoology and human biology. He received his Doctor of Dental Surgery from NYU College of Dentistry.

Dr. Joo has received extensive training in dental bone grafting using a process called Platelet Rich Fibrin, or PRF, which offers optimum results and healing. He’s also completed advanced training in periodontal, or gum, surgeries, and he’s certified for administering IV sedation.

Gum Disease and Your Overall Health

If left untreated, gum disease can progress from gingivitis to periodontitis, resulting in bone loss around your teeth. Over time, gum tissue separates from the teeth and creates pockets that provide a perfect environment for bacteria to thrive. As gum disease progresses, more bone is lost, which can result in tooth loss.

Numerous studies have concluded that a connection exists between diseases of the mouth and several systemic diseases, including heart and lung issues, stroke, diabetes, Alzheimer's, and pregnancy complications, to name just a few. 

Common Dental Treatments You Need for Healthy Teeth

woman in dental chair smiling into a dental mirrorCleanings and exams will always be the foundation for a healthy smile, along with following conscientious oral hygiene at home. This includes brushing at least twice a day and flossing once. 

During your six-month teeth cleaning in our Barrie office, our hygienist clears away plaque and tartar and looks for symptoms of gum disease. In its earliest stages, we can eliminate gum disease with a thorough cleaning and follow-up appointments. 

If we find evidence of advanced periodontal disease called periodontitis, we recommend scaling and root planing, which is a deep cleaning that removes bacteria and plaque from below the gumline. 

This treatment option focuses on removing plaque and tartar that attaches to the surface of your teeth, especially the area below the gum line. Root planing smoothes out irregular areas of the root surface, which removes any remaining plaque.

After you complete your deep cleaning, our hygienist will discuss improvements you can make to your home care routine to keep your gum disease under control. Your dentist may also recommend additional cleanings throughout the year to keep your infection from coming back.

Featured Blog Posts - Periodontal Disease Treatment

December 30, 2022

Health Complications of Untreated Gum Disease

older women laughing on beach in barrie

Gum or periodontal disease is one the most serious oral health conditions because it can lead to tooth loss and impact multiple systems throughout the body.

Your Barrie, ON, dentist emphasizes prevention to lower gum disease risks, but treatment is crucial if you develop the condition.

What Happens If Gum Disease Is Left Untreated?

Gum disease threatens more than your oral health, and it extends beyond tooth loss. Without treatment, gum disease can impact the heart, lungs, and digestive system. Studies also associate gum disease with specific types of dementia, autoimmune conditions, ...

March 19, 2020

Innovative Solutions for Gum Disease

Man sitting in dental chair smiling in barrie

Periodontal disease, commonly called gum disease, is more treatable today than ever before. Your dentist in Barrie, ON utilizes the latest technologies and diligence to help restore your oral health following a gum disease diagnosis.

What Is Gum Disease?

Gum disease is a series of infections throughout your periodontal ligaments and the tissues surrounding your teeth. Without treatment, gum disease can lead to tooth loss and even disrupt body wellness—including heart disease and stroke.

Symptoms of periodontal disease may include one or all of the following:

  • Elongated tooth appearance due to gum recession
  • Bleeding ...

Take Steps to Protect Your Oral Health in Barrie

If it's time for your regular check-up and dental cleaning, please contact our Barrie, ON dental office to schedule a convenient appointment. We look forward to helping you protect your oral health so you can enjoy your beautiful smile for many years to come.

Your Gums Are the Foundation for Your Smile!
Don't Wait to Call
If you have difficulty using our website, please email us or call us at 705-728-9922
View the ACA Accessibility Statement
Privacy Policy