Park Place Dental
A Great Dentist

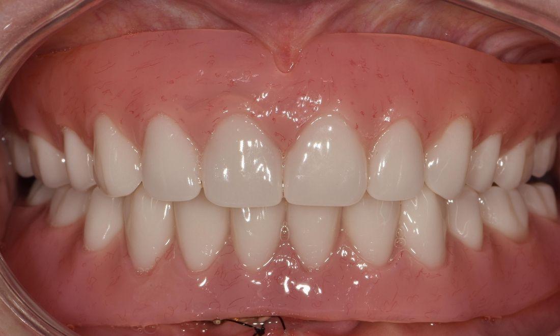
Full Mouth Rehabilitation Using Dentures

Periodontically compromised teeth were all extracted and dentures were made. The lower denture was secured with implants.

Ready to book an appointment?
If you have difficulty using our website, please email us or call us at 705-728-9922
View the ACA Accessibility Statement