Park Place Dental
A Great Dentist

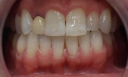
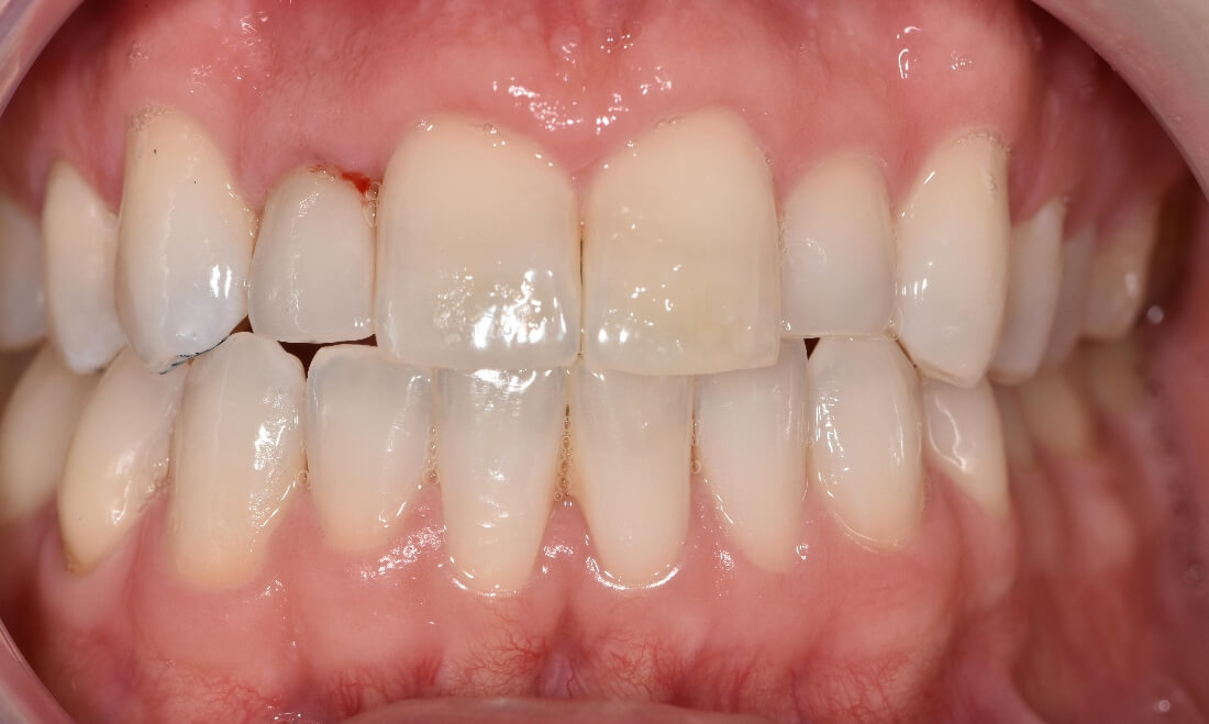
All-Ceramic (Metal-Free) Dental Crown

Our Barrie office replaced this patient's old crown with a new ceramic crown to create a more natural smile! Please contact Park Place Dental if you have more questions on dental crowns.

Related Services:

Crowns & Bridges
Not finding what you need?
If you have difficulty using our website, please email us or call us at 705-728-9922
Privacy Policy