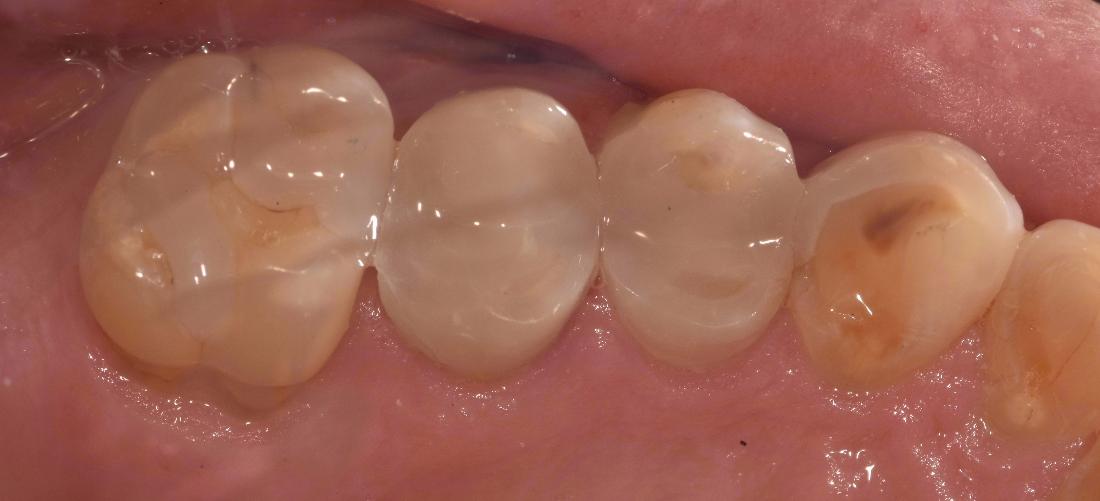
Broken tooth creates undesirable contour between the teeth where food will constantly stick there. Food in between teeth will cause decay and gum disease. Simple White fillings can restore teeth into desirable shape and contour.
Broken tooth creates undesirable contour between the teeth where food will constantly stick there. Food in between teeth will cause decay and gum disease. Simple White fillings can restore teeth into desirable shape and contour.